MUDr. Iva Rostová
soukromá zubní lékařka
Římská 16, 120 00 Praha 2
ordinační hodiny
pondělí momentálně neordinujeme
úterý 8:30 - 14:30 (jednou za 14 dní)
středa 8:30 - 14:30
čtvrtek 8:30 - 14:30
pátek momentálně neordinujeme

endodontické ošetření

V případech, kdy bakteriální infekce prostoupila tvrdými zubními tkáněmi a zasáhla dřeňovou dutinu zubu, nelze již zub vyléčit samotnou výplní. K odstranění infekce, případně zbavení bolesti je nutné ošetřit kořenový systém zubu. To znamená:

Pro ošetřování kořenů používáme pouze nejmodernější postupy a prověřené, vysoce kvalitní materiály. Plníme různými formami gutaperči, a to jak gutaperčou za studena, tak i nahřátou gutaperčou. K plnění používáme různé kondenzační i jiné techniky, eventuálně jejich kombinace, např. techniku laterální kondenzace, vertikální kondenzace, Thermafil®, apod.


Jak ošetření kořenů probíhá?

V lokální anestezii za použití caries-detectoru odvrtáme kaz. Caries-detector je barevný chemický indikátor kazu, který se specificky váže na bakteriemi poškozené konce kolagenních vláken v tvrdých zubních tkáních. Srozumitelně řečeno: caries-detector cíleně obarví pouze infikované části zubu. Na ošetřovaný zub, podle potřeby ev. i na sousední zuby nasadíme Kofferdam. Kofferdam je speciální gumová blána, která se na zuby upevňuje pomocí kovových spon. Jejím úkolem je udržet suché pracovní pole a zabránit kontaminaci kořenového systému zubu (slinou, krví, sulkulární tekutinou) v průběhu endodontického ošetření. Základním předpokladem pro úspěšné ošetření kořenových kanálků je totiž dokonalé odstranění infekce přítomné v kořenech, zabránění reinfekci (opětovnému infikování) a hermetické uzavření kořenů bez přístupu vlhkosti.

Po odvrtání kazu je třeba získat přístup k zubní dřeni. Odvrtáme strop dřeňové dutiny a otevřeme vstupy do kořenových kanálků. Pomocí speciálních kořenových nástrojů odstraňujeme zubní dřeň (nervově-cévní svazek i s pojivovou tkání). Postupně zprůchodňujeme jednotlivé kořenové kanálky, odstraňujeme z nich infikovanou tkáň a vypracováváme je do tvaru vhodného pro plnění. V naší ordinaci používáme nejen ruční, ale i rotační kořenové nástroje. Všechny nástroje jsou standardizované s přesně stanovenou kalibrací odpovídající příslušné ISO normě. Rotační nástroje se upínají do speciálního motoru a používají se ke strojovému opracování kořenových kanálků. Jsou vyrobeny z titanu a jsou velice flexibilní. Strojové opracování se s výhodou používá zvláště u tenkých a výrazně zahnutých kořenových kanálků, které jsou jen obtížně prostupné nebo zcela neprostupné pro ruční kořenové nástroje. Využití strojové techniky nám umožňuje opracovat a zaplnit např. čtvrtý kanálek horních šestek, který jinak často zůstává opomenut a může být zdrojem bolestivých potíží.

Kromě mechanického čištění kořenových kanálků provádíme v průběhu celého opracovávání i čištění chemické. Speciálními kanylami aplikujeme do kořenových kanálků dezinfekční činidla, která pomáhají vypláchnout z kanálků detritus (infikovanou drť) a ošetřují povrch stěn kanálků. Dále při opracovávání používáme materiál zvaný EDTA, který který je schopen otevírat uzavřené průduchy v kořeni a umožnit tak kvalitnější vyčištění kořene od infekce. Díky EDTA je mnohdy možné zprůchodnit kořenové kanálky, které by jinak pro vysoký stupeň obliterace (uzávěru) zůstaly neošetřené.

Pro správné ošetření kořenových kanálků je klíčové přesně určit délku kořene. Na hrotu každého zubního kořene je úzký otvor zvaný foramen apicale. Tímto otvorem prochází z okolní kosti do dutiny uvnitř zubu vyživující céva a nerv. Pro dlouhodobý úspěch endodontického ošetření je potřeba ošetřit a vyplnit kořenový kanálek přesně k tomuto zúžení. Vzhledem k tomu, že převážná část kořenových kanálků je nepřístupná přímé zrakové kontrole, existují různé způsoby, kterými lze polohu foramen apicale určit.

V naší ordinaci provádíme měření délky kořenů dvěma způsoby:

Oba způsoby měření jsou zcela bezbolestné a jsou pokládány za dvě nejpřesnější měřicí metody současnosti. Využitím kombinace údajů, které nám poskytuje apexlokátor a radioviziografie, jsme schopni úspěšně ošetřit drtivou většinu kořenových kanálků.

Jak probíhá měření délky kořene apexlokátorem?

Pacientovi je zavěšen do ústního koutku malý kovový háček, který slouží jako jedna elektroda. Druhá elektroda je napojena na nástroj, kterým je kořen zubu ošetřován. Na displeji přístroje lékař sleduje postup nástroje kořenovým kanálkem. Přístroj zároveň zvukovou signalizací průběžně informuje o vzdálenosti hrotu nástroje od foramen apicale.

měření délky kořenového kanálku apexlokátorem

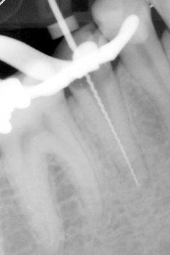
Jak probíhá měření délky kořene radioviziografií?

Zhotovíme digitální rentgenový snímek s kořenovým nástrojem nebo gutaperčovým čepem zavedeným v kořenovém kanálku. Vzhledem k tomu, že známe skutečnou délku zavedeného nástroje, resp. čepu, je pomocí speciální kalibrace možné kompenzovat zkreslení snímku vzniklé při focení, a díky tomu přesně změřit vybraný úsek.

měření délky kořenového kanálku pomocí radioviziografie rentgenový snímek se zavedeným nástrojem

Po změření délky kořenového kanálku a stanovení tzv. pracovní délky opracováváme kořenový kanálek nástroji se stoupajícím průměrem (u strojové techniky i stoupajícím konusem) tak, aby v místě foramen apicale vzniklo tzv. apikální stop (schůdek pro opření gutaperčového čepu při plnění kořene). Apikální stop zajistí přesné usazení čepu v požadované vzdálenosti od apexu (hrotu kořene) a brání přetlačení výplňové hmoty přes apex do přilehlé kosti.

Po dokonalém opracování všech kořenových kanálků v celé jejich délce je zub připraven k plnění. S ohledem na klinický průběh onemocnění zubní dřeně, charakter infekce v kanálcích, stav periodoncia i časovou náročnost výkonu pro pacienta provádíme buď tzv. dezinfekční fázi nebo definitivní plnění kořenů zubu.

dezinfekční fáze kořenových kanálků

V rámci dezinfekční fáze aplikujeme do kořenových kanálků dezinfekční vložku na bázi hydroxidu vápenatého. Korunkovou část je třeba vyplnit materiálem, který hermeticky uzavře vstup do kořenového systému zubu. Klasické provizorní cementy nejsou pro tento účel dostačující - neuzavírají kavitu beze spáry, jsou vyluhovatelné slinou, a proto nezabrání prostupu bakterií z dutiny ústní do kořenů zubu. Vhodným materiálem, který je schopen zabránit reinfekci kořenových kanálků bakteriemi, jsou skloionomerní cementy (adhezivní materiály na bázi skla). Skloionomerní cement lze díky jeho chemické vazbě k tvrdým zubním tkáním úspěšně použít i jako tzv. dlouhodobě provizorní výplň - v případech, kdy je nutná několikatýdenní dezinfekce silně znečištěných kořenových kanálků.

definitivní plnění kořenových kanálků

K definitivnímu plnění kořenových kanálků využíváme různé formy gutaperči. Gutaperča je gumový materiál, přírodní obdoba syntetického kaučuku.

Jak plnění kořene probíhá?

Po důkladné dezinfekci kořenových kanálků pomocí výplachu kanálky zcela vysušíme. Perfektně suché pracovní pole je základním předpokladem pro kvalitní, hermeticky těsnící plnění kořene.

sušení kořenového kanálku papírovým čepem

Pro utěsnění gutaperči v kořeni používáme různé sealery, obvykle na bázi pryskyřic (např. Topseal®, 2Seal®, AH 26®, apod.). K plnění používáme různé techniky, podle tvaru a průměru kořenových kanálků. Pro plnění širokých, přímých kanálků je vhodná metoda laterální kondenzace, pro tenké a zahnuté kanálky se s výhodou využívají tekuté formy gutaperči např. Thermafil®. Cílem všech moderních metod je tzv. 3D plnění, to znamená důkladné utěsnění kořenových kanálků ve všech směrech.

Gutaperča používaná pro plnění za studena je továrně tvarována do čípků kalibrovaných stejně jako kořenové nástroje (ISO norma). Gutaperča určená k rozehřívání a plnění za tepla je dodávána na plastových nosičích a je rovněž kalibrována podle ISO normy. Díky standardizaci kořenových nástrojů a gutaperčových čepů je možné přesně dodržet pracovní délku stanovenou v průběhu měření apexlokátorem a radioviziografií.

plnění laterální kondenzací

Stěny vysušeného kořenového kanálku potřeme sealerem. Zvolíme tzv. master čep - hlavní čep, který bude probíhat celým kořenovým kanálkem a jehož čelo bude umístěno v apikálním stop. Po zavedení master čepu pomocí speciálních nástrojů - tzv. spreaderů vytváříme prostor pro vedlejší čepy. Každý spreader je opět kalibrován dle ISO normy. Vedlejší čepy namočené v sealeru zavádíme do kořenového kanálku dokud není zcela vyplněn. Na závěr nahřátým nástrojem odstraníme vyčnívající části čepů a utěsníme gutaperču ve vstupu do kořenového kanálku.

gutaperčové čepy zavedené v kořenovém kanálku zaplněný kořen po odstranění přebytků gutaperči rentgenový snímek zaplněného kořene

plnění Thermafilem®

Vybereme vhodný nosič s gutaperčou a naměříme na něm potřebnou pracovní délku. Gutaperču na nosiči necháme nahřát v ohřívacím přístroji. Stěny vysušeného kořenového kanálku potřeme sealerem. Zavedeme do kanálku nosič s předehřátou gutaperčou. Na závěr nahřátým nástrojem odstraníme vyčnívající část Thermafilu® a utěsníme gutaperču ve vstupu do kořenového kanálku.

Výsledkem kvalitního endodontického ošetření je homogenní kořenová výplň, která vyplňuje všechny kořenové kanálky zubu v celé jejich délce až po foramen apicale.

Na endodontické ošetření plynule navazuje ošetření postendodontické, ve kterém je třeba zrekonstruovat korunkovou část zubu.